Mise à jour le
"); //-->


Rubriques

+
 
Hémochromatose
               
-----Vous êtes ici : Accueil > Espace Patients > Gros plan > Hémochromatose


llGROS PLAN SUR L'HEMOCHROMATOSE



Textes Bibliographiques Sur Hepatobase:

Connaître les Surcharges en fer:
-
Plan à connaitre classifiant les surcharges en fer
- Classification et diagnostic des surcharges en fer
- Physiopathologie des Surcharges en fer
- Surcharges en fer des hémopathies
- Le syndrome héréditaire cataracte-hyperferritinémie
- Hépatosidérose dysmétabolique

Hémochromatose génétique:
-
Hémochromatose génétique : Diagnostic clinique et thérapeutique générale
- Hémochromatose génétique : Diagnostic biologique et histologique
- Hémochromatoses : génétique moléculaire
- Le dépistage de l'hémochromatose génétique

Hémochromatose traitement:
-
Traitement oral de la surcharge en fer


Texte de Synthèse

L’hémochromatose à l’heure du géne : Evolution de la conduite diagnostique.
Dr Didier Mennecier

L’hémochromatose génétique n’est actuellement plus une découverte tardive devant le tableau classique de la « cirrhose bronzée de Trousseau » associant de multiples complications viscérales.
En effet, elle peut-être découverte devant des signes cliniques et biologiques évocateurs.
Plusieurs aspects cliniques, le plus souvent isolés, doivent faire suspecter une hémochromatose.
- Comme une mélanodermie,
- une hépatomégalie,
- une impuissance,
- une ménaupose précoce sans bouffées de chaleur,
- un diabète voire une diminution de tolérance aux glucides,
- une asthénie physique permanente,
- des rhumatismes chroniques,
- une chondrocalcinose,
- un aspect pathognomonique comme la tuméfaction des 2ième et 3ième articulations phalangiennes surtout chez l’homme [1].
La stratégie classique était basé alors devant la suspicion clinique d’une hémochromatose à controler tout d’abord les marqueurs sériques de charge en fer. En cas d’une élévation du fer sérique mais surtout de la saturation de la transferrine (sup à 60% chez l’homme et sup à 50% chez la femme) une ponction biopsie du foie était réalisée [2].


Coloration de Perls
objectivant le dépôt de Fer

Celle ci permettait d’avoir trois données essentielles :
- elle confirmait l’existence d’une surchage hépatique en fer,
- elle en précisait la distribution hépatocytaire et périportale,
- elle permettait une quantification de cet excés sidérique rapportée à l’âge.
Cette quantification faisait appel à deux paramétres : Le rapport de la concentration hépatique en fer (C.H.F.) sur l’âge et/ou le rapport du fer histologique sur l’âge. Si les valeurs étaient supérieures respectivement à 1,9 et 0,2 et si les surchages secondaires notamment transfusionelle étaient éliminées, le diagnostic d’homozygotie hémochromatosique pouvait être retenu [3].


Actuellement la démarche diagnostic repose sur le resultat de la recherche de la mutation C282Y bien sûr demandée devant une suspicion clinico-biologique d’hémochromatose [4].

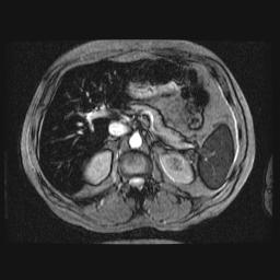
a) Si la mutation est présente à l’état homozygote (C282Y +/+), l’hémochromatosie peut être affirmée. La stratégie repose alors sur l’évaluation de l’intensité de la surchage hépatique en fer. Celle-ci est obtenue par l’utilisation combiné du taux de férritinémie et des données de l’IRM hépatique [5]. Les valeurs seuils actuellement proposées par les équipes sont un taux de 1000 à 1500 ug/l pour la férritinémie et/ou une C.H.F par IRM déduite du degré de l’hyposignal en T2 de l’ordre de 400 à 500 umol/g.


IRM hépatique sur hémochromatose
Copyright - Yves Gandon - Imagerie Médicale -Rennes.

Si ces paramétres orientent vers une probabilité trés forte d’observer une cirrhose une ponction biopsique hépatique (PBH) doit être réalisée. Elle est alors justifié comme élément de pronostic pour d’une part apprécier l’existence et le degré de fibrose et d’autre part rechercher la présence d’un carcinome hépatocellulaire ou de nodules hépatiques dépourvus de fer qui interviennent dans la genése de ce dernier.

b) Si la mutation est présente à l’état hétérozygote (C282Y +/-), l’hétérozygotie hémochromatosique peut être affirmée.

c) Si la mutation est absente (C282Y -/-), l’hémochromatose peut être éliminée.
Dans ces cas la PBH n’apparait alors justifié que si il existe une discordance entre ces resultat et les données clinico-biologiques. En effet il existe certaines formes homozygotes d’hémochromatose ne s’exprimant pas ou incomplétement et il semble alors licite de demander une IRM qui entrainera une PBH si une surchage hépatique en fer apparait probable.

Dans le cadre d’une enquête familiale d’hémochromatose la stratégie classique se basait, au niveau des fréres et des soeurs du probant, sur leur degré de similitude H.L.A.Un HLA identique correspondait à une homozygotie hémochromatosique, un HLA semi-identique correspondait à une hétérozygotie [6]. La stratégie nouvelle repose tout simplement sur la recherche de la mutation C282Y

La thérapeutique repose toujours sur la soustraction régulière de fer non héminique, obligeant l’organisme à puiser dans ses reserves le fer nécessaire pour reconstituer le stock d’hématie. En général le malade subit deux saignées par semaine afin d’obtenir une ferritinémie infèrieure à 100 ug/l. Puis le traitement d’entretien repose sur 3 à 8 saignées par an.

Réferences :
[1] Yaouanq J. Hémochromatose génétique. Concours Médical 1991 ;29:2504-8.
[2] Brissot P, Moirand R, Guyader D, Deugnier Y. Surchages en fer. Encycl.Med.Chir.(Paris france),Hepatologie,7-200-A-10,1995 ;16p.
[3] Deugnier Y, Loréal O, Guyader D, Jouanolle Y, Moirand R, Jacquelinet C, Brissot P. Liver pathology in genetic hemochromatosis : a review of 135 homozigous cases and their bioclinical correlations. Gastroenterology 1992 ;102:2050-2059.
[4] Brissot P, Moirand R, Jouanolle AM, Deugnier Y, David V. L’hémochromatose : un diagnostic en plein boulversement. Rev Prat Med Générale 1997 ;11:30-3.
[5] Gandon Y, Guyader D, Heautot JF et al. Hematochromatosis : diagnosis and quantification of liver iron with gradient-echo MR Radiology 1994 ; 194:533-8.
[6] Moirand R, Brissot P, Deugnier Y. Prise en charge d’une famille atteinte d’hémochromatose génétique Gastroenterol Clin Bio 1996 ;20 :B9-B14.



Les saignées comment ca marche ?
Dr Didier Mennecier

Malgré les progrès de la médecine, le traitement de l’hémochromatose génétique reste dans la plupart des cas les saignées. Les chélateurs du fer connus (DESFERAL°) ne sont pas utilisés en pratique courante.

Où peut-on faire des saignées ?

-
Dans les Centres de Transfusion Sanguine qui ont fait une demande d’autorisation de réalisation d’actes thérapeutiques (A faire préciser).
- Dans un cabinet médical par le médecin ou à domicile par une infirmière libérale (Mais difficile sur le plan matériel)
- Dans les hôpitaux ce qui est le plus simple.

Quel matériel peut-être utilisé ?

Set de saignée "MACO PHARMA" Référence VSL 7000P.
Contenu : aiguille montée avec couvre-aiguille, dispositif pour prélèvements de laboratoire, redon sous vide jusqu’à 600 ml.
Set de saignée "IMM".
Contenu : un redon sous vide de 600ml (500ml fonctionnels) avec un raccord mâle et témoin de vide, une tubulure d'un mètre luer mâle-mâle, un microperfuseur 11/10 (ivoire) ou de diamètre inférieur, une paire de gants stériles (taille7/8), une serviette.


Quel sont le rythme et volume des saignées ?

On réalise une saignée environ de 400 cc en une vingtaine de minutes en position semi-allongée. Le malade doit rester allongé sous surveillance pendant toute la saignée. Un garrot est mis en place sur le bras et doit y rester jusqu’à la fin de la saignée, il ne faut donc pas trop le serrer. En fin de saignée le garrot est enlevé, l’aiguille est retirée et l'on réalise un pinot de compression avec une compresse pendant 2 à 3 minutes pour éviter un hématome. Le patient doit rester au repos 15 à 30 minutes. Le pouls et la tension sont contrôlés avant que la malade puisse se lever. Le patient doit boire une quantité de liquide identique à la saignée qui peut être de l’eau ou du jus de fruit.

Le traitement déplétif par saignée débute par une phase d’attaque d'un volume jusqu’à 7 ml/kg sans dépasser 550 ml. Cette phase d’induction associe une saignée hebdomadaire qu'il faut poursuivre jusqu’à ce que la ferritinémie devienne < à 50yg/l.
Quand ce taux de ferritine est atteint, la phase d’entretien débute associant une tous les 2, 3 ou 4 mois en fonction des patients avec comme but de maintenir la ferritinémie < à 50yg/l.
La phase d’attaque fait disparaître les conséquences de l’hémochromatose mais n’a pas fait disparaître l’anomalie congénitale qui est l’hyperabsoption digestive de fer. C’est pour cela que les saignées sont poursuivies.
La décroissance de la ferritine n’est pas linéaire et se fait par palier. Il convient donc d’être prudent à partir de 500 yg/l car la désaturation peut être très rapide et on risque une anémie par carence ferrique chez le patient

Liens sur les saignées :

- La Saignée en pratique >>>> Cliquez ici (hemochromatose France)


Documents en ligne

IRM et hémochromatose
-
Principe de la technique et ses indications. >>>> Cliquez ici
- Mise en oeuvre le protocole d'exploration proposé sur votre appareillage d'IRM, en fonction de l'intensité du champ magnétique. >>>> Cliquez ici


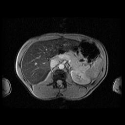
Foie Normal (Signa 1,5T)
Copyright - Yves Gandon - Imagerie Médicale -Rennes.


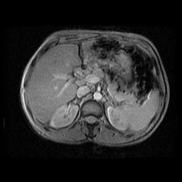
Faible surcharge (chf=50µmol/g, Signa 1,5T)
Copyright - Yves Gandon - Imagerie Médicale -Rennes.

- Pour les Radiologues : Estimation en ligne sur le serveur de Rennes de la concentration hépatique en fer selon le champ magnétique de votre appareil : 0,5T, 1,0T ou 1,5T. >>>> Cliquez ici


Diaporamas sur l'Hémochromatose

Bilan extra-hépatique au cours de l’hémochromatose dans la « vraie vie » :
XIIe Symphosium d'Hépato-Gastroentérologie 2004 - Angers - 5 Juin 2004
Surcharges en fer. Aspects nouveaux sur la prise en charge
Journées d'Hépatologie de l'Hôpital Henri MONDOR - Paris - Samedi 10 Septembre 2005


Documents à télécharger

Conférence de Consensus :

Conférence sur la prise en charge de l'hémochromatose liée au gène HFE (Hémochromatose de type 1)
>>>>> Texte long - 2,2 Mo -
>>>>> Texte court 452Ko -
>>>>> Fiche 112Ko -

Évaluation clinique et économique du dépistage de l'hémochromatose HFE1 en 2004 - Étude d'évaluation technologique et économique
>>>>> Rapport - 408Ko -
>>>>> Synthèse 44Ko -

Diagnostic génétique de l'hémochromatose : Fiche de Synthèse des données scientifiques utiles au conseil génétique - INSERM 2001
>>>>>
Article 245 Ko -


Liens sur l'Hémochromatose

Sélection des meilleurs sites sur le web parlant de l'Hémochromatose regroupant des domaines médicaux et des pages perso.

AHF : Association Hémochromatose France. Site regroupant les recommandations de l'OMS, publication d'un bulletin de liaison. Témoignages de patients. >>> Voir le site

American Hemochromatosis Society (AHS) : Association Hémochromatose Américaine. Témoignages de patients. >>> Voir le site

Infopedi.com : Listes des centres que votre médecin peut contacter pour réaliser le test génétique de l'hémochromatose. Adresses et téléphones des centres. >>> Voir le site

ikp.unibe.ch : Synthèse avec liens complémentaires réalisée par le Prof.J. Reichen de l'Institut de Pharmacologie Clinique, Université de Berne, Suisse. >>> Voir le site

Liver.canada : Synthèse et liens sur l'hémochromatose réalisés par le site de la fondation canadienne du foie. >>> Voir le site

Timc : Synthèse sur l'hémochromatose réalisée par le Dr Jean Cohen du collège national des enseignants et praticiens de génétique médicale. Très complet. >>> Voir le site



+  

© 2000-2006 Hepatoweb.com - Dr Didier Mennecier - All rights reserved.
Rechercher sur le site | A propos de ce site | Mentions légales | Nous contacter