Revue de Presse
du Mois

 Hepatoweb édition
Mobile

 
HEPATOBASE
Retour Liste


 Forme de la mise sur le site

Auteur des Photos

 Date de mise sur le site

Photos Online

Anatomo-pathologie Begin

 29/08/02
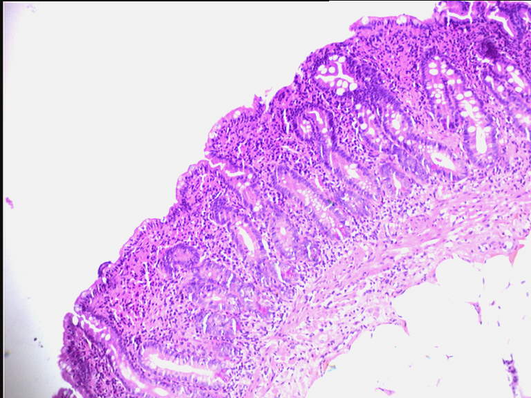
Maladie Coeliaque

Photographies de Coupes Histologiques :

 

Comparaison muqueuse duodénale normale et Atrophie villositaire (100N)
   

 

 


 Hit-Parade