Mise à jour le : 02-02-2012
LA MALADIE DE CROHN
Quels sont les examens complémentaires à réaliser qui permettent le diagnostic ? :
Les examens d’endoscopie digestive sont obligatoires pour visualiser les atteintes du tube digestif et surtout pour réaliser des biopsies.
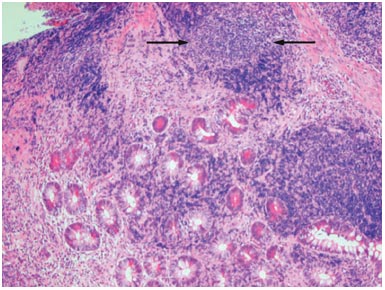
En effet, l’anomalie histologique spécifique de la maladie de Crohn est le granulome épithélioïde et giganto-cellulaire (Figure n°1) qui est le plus souvent présent dans une muqueuse saine en apparence. Il est très rarement mis en évidence lors de la première poussée. Il est mis en évidence seulement dans 30 % à 50 % des cas au cours de l’évolution de la maladie. Les fissures « transmurales » histologiques sont aussi assez caractéristiques de la maladie de Crohn.
Figure n° 1 : Granulome (Flèches) dans la maladie de Crohn
(Source Nature Clinical Practice Gastroenterology & Hepatology (2007) 4, 347-351)
La réalisation d’une endoscopie oesogastro-duodénale (ou gastroscopie ou fibroscopie gastrique) est nécessaire même s’il n’existe pas de signe clinique gastrique. En effet, des granulomes peuvent exister mais dans ce cas, il existe toujours une atteinte inflammatoire du reste du tube digestif.
La réalisation d’une coloscopie avec une iléoscopie est obligatoire puisqu’elle va permettre de mettre en évidence des lésions. Attention, les biopsies étagées comme nous l’avons dit précédemment, doivent être réalisées aussi sur les parties du colon ou du grêle qui sont apparemment saines.
Lors de ces examens d’endoscopies, des lésions endoscopiques évocatrices de maladie de Crohn peuvent être visibles (Figure n°1 et 2) : des ulcérations apthoïdes, des ulcérations en carte de géographie, des ulcérations en rails.
Figures n° 2 et 3 : Ulcérations du colon dans la maladie de Crohn
(Source Gastrolab et Atlas Atlanta)
Mais attention, si ces lésions sont évocatrices elles ne signent pas obligatoirement le diagnostic de maladie de Crohn car elles ne sont pas spécifiques et peuvent se voir au cours des colites bactériennes. Nous verrons par la suite la difficulté de diagnostic avec ces atteintes infectieuses. Un caractère plus spécifique de la maladie de Crohn est le caractère discontinu et multi-segmentaire des lésions endoscopiques.
Un examen proctologique à la recherche de lésions caractéristiques de maladie de Crohn (fissures latérales, ulcérations endoanales, pseudo-marisques ulcérées) doit être fait. En effet 30% à 50% des malades ont des atteintes périanales, ce qui peut aider au diagnostic.
La réalisation d’un entéro-scanner ou d’un transit baryté du grêle permettra de visualiser une atteinte de l’intestin grêle en particulier une sténose. La vidéocapsule à son indication dans la recherche d’atteinte du grêle mais est contre-indiquée s’il existe une sténose d’où l’intérêt de rechercher celle-ci par un examen radiologique initialement.
Figure n° 4 : Sténose (Flèche) de l'iléon sur un transit du grêle
(Source Klinikmanual.de)
Figure n° 5 : Ulcérations du grêle vu par vidéocapsule
(Source Atlas Atlanta)
L’IRM est considérée comme l’examen d’imagerie de référence en cas de lésions ano-périnéales. Cet examen est utilisé pour analyser les fistules et vérifier l’absence d’abcès avant la mise en route d’un traitement par anti-TNF.
L’entéro-IRM a une sensibilité de détection et de localisation des segments atteints dans la maladie de Crohn voisine de 100% et semble utile pour le suivi évolutif des patients atteints d’une maladie de Crohn.
Figure n° 6 : Sténose du grêle (flèche) vu par Entero-IRM
(Source Présentation DES Dr Boudiaf )
BIBLIOGRAPHIE :
- Bouhnik Y, Bitoun A. Endoscopie dans les maladies inflammatoires chroniques intestinales : sémiologie élémentaire et apport pour le diagnostic. Gastroenterol Clin Biol 1999 ; B143-B151.
- Bouhnik Y. Moyens diagnostiques dans les MICI. Rev Prat. 2005;55:977-83.
- Daperno M, D'Haens G, Van Assche G, Baert F, Bulois P, Maunoury V, Sostegni R, Rocca R, Pera A, Gevers A, Mary JY, Colombel JF, Rutgeerts P. Developmentand validation of a new, simplified endoscopic activity score for Crohn's disease: the SES-CD. Gastrointest Endosc. 2004 Oct;60(4):505-12.
- Hommes DW, van Deventer SJ. Endoscopy in inflammatory bowel diseases. Gastroenterology 2004;126:1561-73.
Gore RM, Ghahremani GG. Radiological investigation of acute inflammatory and infectious bowel disease. Gastroenterol Clin North Am 1995; 24: 353- 384
- Boudiaf M, Soyer P, Terem C, Pelage JP, Kardache M, Dufresne A-C et al. Complications abdominales de la maladie de Crohn : Aspects TDM. J Radiol 2000 ; 81 :11-18
- Colombel JF, Solem CA, Sandborn WJ, Booya F, Loftus EV, Harmsen WS, Zinsmeister AR, Bodily KD, Fletcher JG. Quantitative measurement and visual assessment of ileal Crohn’s disease activity by computed tomography enterography: correlation with endoscopic severity and C reactive protein. Gut 2006;55:1561-1567
- Boudiaf M, Jaff A, Soyer P, Bouhnik Y, Hamzi L, Rymer R. Small bowel disease: prospective evaluation of multi-detector row helical CT enteroclysis in 107 consecutive patients. Radiology 2004 ; 233:338-344
- Prassopoulos P, Papanikolaou N, Grammatikakis J, Rousomoustakaki M, Maris T, Gourtsoyiannis N. MR enteroclysis imaging of Crohn’s disease. Radiographics 2001 ; 161-72
- Florie J, Wasser M, Arts-Cieslik K, Akkerman EM, Siersema PD, Stoker J. Dynamic Contrast-Enhanced MRI of the Bowel wall for assessment of Disease Activity in Crohn’s Disease. AJR 2006; 186:1384-92
Merci au Docteur Weniko CARE pour sa relecture attentive.
Copyright 2011 - Dr Didier Mennecier











