Quels sont les examens réalisés pour faire le diagnostic d'un ulcère de l'estomac ?
Les examens qui seront réalisés devant la suspicion clinique d'un ulcère de l'estomac seront des examens biologiques, d'imageries mais surtout endoscopiques.
Les examens biologiques :
La biologie permet de rechercher le plus souvent une anémie associant un taux d'hémoglobine (Hb) diminué pouvant ainsi témoigner d'une complication hémorragique.
Dans ce contexte, la présence d'une augmentation isolée de l'urée avec une créatinine normale comfirmera une hémorragie haute active. En effet, Dans l’hémorragie digestive haute, les protéines du sang, aprés digestion, sont réabsorbées sous forme d’acides aminés dans les parties proximales de l’intestin. Ceci peut faire augmenter l’urée et ainsi permet d’orienter vers un processus hémorragique haut.
Les examens radiologiques :
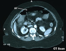
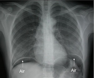
La radiographie de l’abdomen sans préparation reste surtout indispensable pour éliminer un pneumopéritoine par perforation d'un ulcère sous la forme d'un croissant gazeux sous-diaphragmatique (Figure n°1).
![]()
Figure n°1 et 2 : Pneumopéritoine sur un ASP de face et sur une tomodensitométrie.
La tomodensitométrie (TDM) abdominale permet de confirmer le pneumopéritoine devant la présence d'air dans le péritoine et peut orienter la localisation de la perforation.
Il est interdit de réaliser dans ce contexte une endoscopie car cet examen ne fera qu'aggraver le pneumopéritoine en introduisant encore plus d'air. Le seul traitement est alors la chirurgie en urgence.
L'endoscopie digestive haute :
C'est l'examen de référence puisque c'est le seul qui permettra de confirmer le diagnostic et de réaliser s'il le faut des gestes hemostatiques s'il existe une hémorragie active.
Elle permet de visualiser le tractus digestif haut jusqu’au deuxième duodénum et de réaliser des biopsies. Elle peut être réalisée sous anesthésie locale pharyngée ou sous anesthésie générale.
Bien que la morbidité (hémorragie, perforation fausse route) et la mortalité de cet examen soient très faibles, le malade doit en être clairement averti. La preuve de cette information doit être consignée dans le dossier du malade.
L’ulcère apparaît comme une perte de substance creusante de forme généralement ronde ou ovalaire à fond pseudo-membraneux (blanchâtre), parfois nécrotique (noirâtre) à bords réguliers, légèrement surélevés et érythémateux.
![]()
Figure n°3 : Image d'un ulcère gastrique à dépôt fibrineux.
(Source GastroLab Copyright)
L'ulcère gastrique est de siège le plus fréquent au niveau de l'antre et de la petite courbure. Des biopsies seront réalisées de façon systématiques sur les berges de l’ulcère en raison du risque de cancer.
Figure n° 4 : Deux ulcères gastriques au niveau de l'antre.
(Copyright Johns Hopkins Hospital - Traductions Hepatoweb.com)
L'ulcère duodénal est de siège le plus souvent au centre du bulbe ou à la pointe du bulbe. La présence d'un ulcère post-bulbaire est très rare et devra faire évoquer l’exceptionnel syndrome de Zollinger-Ellison. Des biopsies des berges sont inutiles puisqu’il n’y a pas de risque de cancer dans ce cas.
Figure n° 5 : Un ulcère duodénal de la face antérieur du bulbe.
(Copyright Johns Hopkins Hospital - Traductions Hepatoweb.com)
Quelle que soit la localisation de l’ulcère, des biopsies de l’antre et du fundus doivent être réalisées pour chercher la présence de H. pylori et évaluer le degré de gastrite.
BIBLIOGRAPHIE :
- Collège des Enseignants de Gastro-entérologie - Item 290 Ulcére gastrique et duodénal - 2004
- Dépistage de l’infection à Helicobacter pylori : pertinence et populations concernées - HAS 2010.
- Place respectives de l'endoscopie et du test respiratoire dans le diagnostic et le contrôle de l'éradication de l'Hp - HAS 2003.
- Les inhibiteurs de la pompe à protons chez l'adulte. Bon usage du médicament - HAS 2009
- Recommandations de bonne pratiques « Le bon usage des anti-sécrétoires gastriques chez l’adulte » - AFSSAPS 2007.
- Recommandations de la SFED: Techniques d’hémostase des ulcéres gastriques et duodénaux - HAS 2004.
- Management of bleeding peptic ulcer in France : a national inquiry. Lesur G, Bour B, Aegerter P - Association Nationale des Hépatogastroentérologues des Hôpitaux Généraux. Gastroenterol Clin Biol. 2005;29(2):140-4.
- Bourienne A, Pagenault M, Heresbach D, et al. Étude prospective multicentrique des facteurs pronostiques des hémorragies ulcéreuses gastroduodénales. Gastroenterol Clin Biol 2000;24:193-200.
- Lesur G, Artru P, Mitry E. Hémorragies digestives ulcéreuses : histoire naturelle et place de l'hémostase endoscopique. Gastroenterol Clin Biol 2000;24:656-66.
Rédaction le 10/03/2012 par le Dr Didier Mennecier
Corrections et mises à jour : 6/10/2012, 5/05/2013, 04/07/2014, 23/05/2015, 19/08/2016, 28/10/2017


