Rechercher sur le site | A propos de ce site | Mentions légales | Nous contacter
Mise à jour le
Les colites microscopiques
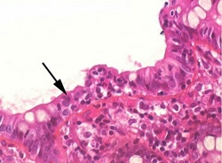
Photographies de Coupes Histologiques d'une colite lymphocytaire: Biopsie colique avec une augmentation du nombre de lymphocytes intra-épithéliaux dans l'épithélium de surface (H-E)
Photographies de Coupes Histologiques d'une colite lymphocytaire:
Biopsie colique avec une augmentation du nombre de lymphocytes intra-épithéliaux dans l'épithélium de surface (H-E)