Mise à jour le

"); //-->
+
Rubriques
+
+
 
Hépatobase
               
-----Vous êtes ici : Accueil > Espace Médecins > Hépatobase > Maladie Coeliaque


Hépatobase
Base de donnée de pathologies digestives
constituée de fiches
réalisées à partir d'articles
de différentes revues bibliographiques.


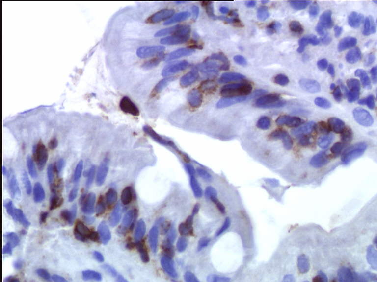
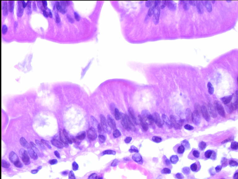
Maladie Coeliaque

Photographies de Coupes Histologiques : 


													
Comparaison Atrophie villositaire (CD3) etmuqueuse duodénale normale : Lymphocytose
   


											

+  

© 2000-2006 Hepatoweb.com - Dr Didier Mennecier - All rights reserved.
Rechercher sur le site | A propos de ce site | Mentions légales | Nous contacter