Vous êtes ici : Accueil > Espace Patients > Gros plan > Pancréatite > Pancréatite Chronique


| | |





La pancréatite chronique :


La pancréatite chronique est une affection dont la prévalence est d’environ 25/100 000 habitants dans les pays occidentaux, avec en France environ 15 000 cas. Elle se définit comme une inflammation chronique du pancréas aboutissant à une fibrose progressive du parenchyme pancréatique et entraînant, à la longue, une destruction plus ou moins complète de la glande pancréatique. Ce processus affecte d’abord le tissu exocrine, responsable de la sécrétion enzymatique pancréatique, puis le tissu endocrine, responsable de la sécrétion d’hormones destinées à la glycorégulation. Au stade initial, la maladie est caractérisée par des poussées de pancréatite aiguë, et par des douleurs récidivantes et chroniques qui représentent la principale traduction clinique de la maladie.




Les causes de la pancréatite chronique :

L’alcoolisme chronique est la cause de 70-85 % des pancréatites chroniques en Occident. Il faut cependant une consommation d’alcool pur de 100 à 150 g par jour pendant 10 à 15 ans pour que les premières manifestations de la PC apparaissent.
Le sex- ratio est essentiellement masculin avec 8 hommes pour 2 femmes et un âge moyen au premier symptôme d’environ 40 ans.
Le tabac est un facteur de risque présent chez plus de 80 % des cas, qui multiplie le risque relatif de PC due à l’alcool.


L’hypercalcémie, quelle que soit son origine, peut être impliquée si la calcémie dépasse 3 mmol/L.


L’hyperparathyroïdie représente moins de 1 % des pancréatites chroniques. Réciproquement, la PC complique jusqu’à 7 % des hyperparathyroïdies.


Les causes génétiques :
–La pancréatite chronique héréditaire est une maladie autosomique dominante caractérisée par un âge de survenue inférieur à 15 ans, mais une évolution clinique et morphologique semblable à celle des pancréatites chroniques alcooliques. La principale mutation concerne le site autocatalytique de la trypsine.
-La mutation du gène inhibiteur de la trypsine (SPINK1)
-La mutation du gène CTFR impliqué dans la mucoviscidose. Dans ces derniers cas, la transmission se fait sur un mode récessif et la mutation se révèle vers 35 ans


Les pancréatites auto-immunes sont rares, parfois associées à d’autres affections auto-immunes. Elles peuvent prendre une présentation pseudo-tumorale ;


Les pancréatites chroniques obstructives sont dues à un obstacle tumoral ou une sténose du canal de Wirsung, secondaire à un traumatisme, une séquelle de pancréatite aiguë ou une anomalie de formation des canaux pancréatiques ;


Les pancréatites chroniques dites « idiopathiques » représentent encore 10 %.





La diagnostic de la pancréatite chronique :


Diagnostic clinique :


La douleur épigastrique, transfixiante, déclenchée par l’alimentation ou la prise d’alcool est un des signes principaux de la pancréatite chronique. Cette douleur peut durer quelques heures à quelques jours. Elle est fluctuante évoluant sur plusieurs mois.
Elle est souvent associée à un amaigrissement secondaire à l'appréhension de la prise alimentaire mais elle est aussi favorisée par la dénutrition liée à l’alcoolisme.
Après 10 à 20 ans d’évolution, la douleur disparaît en même temps qu’apparaissent les complications à type d’insuffisance exocrine ou endocrine.


Diagnostic biologique :

La biologie est normale en dehors des poussées aiguë où la lipasémie est élevée. Il peut exister une cholestase par compression de la voie biliaire principale (augmentation de la gamma-GT et des phosphatases alcalines) et/ou un diabète.
Devant une diarrhée graisseuse, il faut réaliser des tests fonctionnels pancréatiques fécaux qui recherchent une insuffisance pancréatique exocrine. Cette dernière est en général infraclinique à un stade de début de la pancréatite chronique. Le test le plus utilisé est le dosage de l’élastase 1 fécale qui est simple à réaliser.


Diagnostic morphologique :

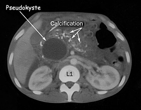
L'abdomen sans préparation peut montrer des calcifications pancréatiques (Figure n°1).
Le scanner est l’examen de première intention et de référence. La phase sans injection permet de faire le diagnostic de calcifications pancréatiques. Il montre les complications comme les pseudokystes (
Figure n°2).
L’écho-endoscopie cherche des anomalies du parenchyme et des canaux pancréatiques avec une très grande sensibilité et permet de surcroît de chercher des causes non alcooliques de pan- créatite (tumeur). Depuis quelques années, elle constitue également une méthode de traitement pour dériver les pseudokystes.


Figure n°1 et 2 : Calcifications pancréatiques sur un ASP et un Scanner

La cholangiopancréatographie par résonance magnétique (CPRM) permet une cartographie canalaire biliaire et pancréatique inégalée et ce, sans irradiation ni aucun effet secondaire. Dans cette indication, c’est devenu un examen de référence. La CPRM ne visualise pas les calcifications et est moins performante que le scanner pour les anomalies parenchymateuses.


Le diagnostic de pancréatite chronique est donc fait formellement chez un patient ayant de douleurs chronique et qui présente des anomalies du canal de Wirsung typiques alternant des sténoses et des dilatations, des calcifications pancréatiques et/ou une insuffisance pancréatique exocrine.




Les complications de la pancréatite chronique :


Les Pseudokystes :


Le pseudokyste est une collection liquidienne contenant soit du suc pancréatique pur et clair soit de la nécrose pancréatique liquéfiée. Il complique 20 à 40 % des pancréatites chroniqes. Ils peuvent se former dans les suites d’une poussée aiguë ou par rétention canalaire.
Ils peuvent rester stables, régresser ou se compliquer.
Ils peuvent entraîner une compression des organes de voisinage comme la voie biliaire principale, réalisant alors un ictère, le duodénum ou l'estomac entraînant des vomissements (Figure n°3). Ils peuvent s'infecter entraînant à un abcès pancréatique. Ils peuvent entraîner une hémorragie ou se rompre dans un organe creux voisin ou dans la cavité péritonéale.


Figure n°3 : Pseudokyste pancréatique comprimant l'estomac
(Copyright Johns Hopkins Hospital - Traductions Hepatoweb.com)



L'insuffisance pancréatique exocrine :

Au cours de la pancréatite chronique, une insuffisance pancréatique exocrine survient presque inéluctablement après en moyenne une dizaine d’années d’évolution. L’insuffisance pancréatique exocrine provoque une stéatorrhée (définie par un débit fécal de graisses supérieur à 7 g/j pour un régime apportant 100 g de graisses) et un amaigrissement modéré. Elle ne survient que dans les formes très évoluées car il faut une destruction de plus de 90 % du tissu exocrine.

La stéatorrhée se traduit par des selles claires, mastic, très nauséabondes, flottantes et tachant le papier hygiénique comme un corps gras.


L'insuffisance pancréatique endocrine (Diabète) :

Le diabète est une complication majeure, tardive mais quasi-inéluctable aussi de la pancréatite chronique
. Il est d’abord non insulino-dépendant. Le diabète peut être une circonstance de découverte notamment dans les rares formes indolores.
Le risque d'apparition d'un diabète est de 30 % à 5 ans, 50 % à 10 ans et 70 % à 15 ans. Le risque de diabète insulino-dépendant concerne un patient sur trois après 15 ans d’évolution.


La dégénérescence

La pancréatite chronique augmente le risque d’adénocarcinome pancréatique mais avec un risque absolu qui reste faible de l'ordre de moins de 5 % et ne justifie donc pas de surveillance particulière.







BIBLIOGRAPHIE :

- Regimbeau JM, Dumont F, Yzet T, et al. Prise en charge chirurgicale de la pancréatite chronique. Gastroenterol Clin Biol. 2007;31:672-85.

- Regimbeau JM. Prise en charge de la pancréatite chronique calcifiante symptomatique : endoscopie ou chirurgie ? Journal de Chirurgie 2009;146:115—128.
- Ammann RW, Muellhaupt B. The natural history of pain in alcoholic chronic pancreatitis. Gastroenterology 1999;116:1132-40.
- Levy P, Milan C, Pignon JP, Baetz A, Bernades P. Mortality factors associated with chronic pancreatitis. Unidimensional and multidimen- sional analysis of a medical-surgical series of 240 patients. Gastroen- terology 1989;96:1165-72.
- Gruessner RW, Sutherland DE, Dunn DL, Najarian JS, Jie T, Hering BJ, et al. Transplant options for patients undergoing total pancreatectomy for chronic pancreatitis. J Am Coll Surg 2004;198: 559-67.
- Kahl S, Zimmermann S, Glasbrenner B, Pross M, Schulz HU, McNamara D, et al. Treatment of benign biliary strictures in chronic pancreatitis by self-expandable metal stents. Dig Dis 2002;20:199-203.
- Maire F, Lévy P, Rebours V, Hammel P, Ruszniewski P. De la pancréatite chronique aux pancréatites chroniques. Gastroenterol Clin Biol. 2009;33:725-36.
- Férec C, Raguenes O, Salomon R, Roche C, Bernard JP, Guillot M, et al. Mutations in the cationic trypsinogen gene and evi- dence for heterogeneity in hereditary pancreatitis. J Med Genet 1999;36:228—32.
- Lin Y, Tamakoshi A, Hayakawa T, Ogawa M, Ohno Y. Cigarette smoking as a risk factor for chronic pancreatitis: a case-control study in japan. research committee on intractable pancreatic diseases. Pancreas 2000;21:109—14.
- Pannala R, Chari ST. Autoimmune pancreatitis. Curr Opin Gas- troenterol 2008;24:591—6.





Rédaction le 10/12/2011 par le Dr Didier Mennecier
Corrections et mises à jour : 17/04/2012, 6/10/2012, 05/05/2013, 04/07/2014, 02/06/2015, 19/08/2016, 28/10/2017